骨分类

骨结构

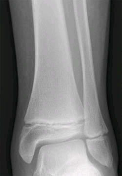
骨局部解剖

骺板:(或称为生长板)是一种位于长骨各端骨骺中的透明软骨盘。小孩与成人皆有生长板,但成人的生长板已停止生长,并被骺线取而代之。

骺软骨:为介于骨骺与骨干之间的软骨板,有生长能力 ,骨骼由此生长。
骺软骨指人类在成长时期,不规则骨和扁骨的周缘和长骨两端与骨干相接的部位,未发生骨化的板状软骨。
骺软骨不断分裂增殖并不断骨化,使骨不断的加长和扩大。全身各骨的骺软骨到16-20岁左右全部停止增殖并骨化,骺软骨随之消失,从此长骨不再增长,不规则骨和扁骨不再扩大,当骨骺与骨干融合成一整块骨后,两者连接处的表面留有一条线叫骺线,骺线形成后,骨的长度就不再增长。
骺软骨能不断增生,又不断骨化,使骨的长度增加。成年后骺软骨骨化,原骺软骨处形成一线状痕迹,称为骺线。
儿童时期骺软骨损伤可发生不同程度的骨发育畸形。



骨由有机质和无机质组成,有机质主要是胶原纤维和黏多糖蛋白,使骨有弹性和韧性,无机质主要是碱性磷酸钙,使骨坚硬挺实。
幼儿时期,有机质和无机质各占一半,故弹性大,柔软,易变形,不易骨折。
成年人骨有机质和无机质比例约为3:7,使骨有较大硬度和一定弹性。
老年人骨无机质所占比例更大,脆性增加,其次激素水平下降,钙磷吸收减少,出现骨质疏松,所以更易骨折。
内分泌(垂体生长激素)对骨发育影响较大。
维生素A可以调节成骨和破骨细胞功能,保持骨的正常生长。
补充过多维生素A会导致骨形成降低,幼儿和老年人补钙时,注意不要选维生素AD的复合制剂。
维生素D促进肠道对钙、磷的吸收,促进骨的钙化。
体育锻炼可使骨得到正常发育。